Đột quỵ thiếu máu não cục bộ cấp tính (nhồi máu não cấp)
Acute ischemic stroke Chia sẻ
- GIỚI THIỆU
- PHÂN LOẠI
- GIẢI PHẪU BỆNH
- Giải phẫu mạch máu nuôi não
- SINH LÝ BỆNH
- 1. Vùng trung tâm và vùng rìa ổ nhồi máu
- 2. Dòng thác thiếu máu cục bộ
- 3. Nhồi máu chuyển dạng xuất huyết
- 4. Phù não và co giật sau đột quỵ
- NGUYÊN NHÂN
- 1. Các yếu tố nguy cơ
- 1.1 Các yếu tố nguy cơ không thay đổi
- 1.2 Các yếu tố nguy cơ có thể thay đổi
- 2. Tắc động mạch lớn
- 3. Đột quỵ ổ khuyết
- 4. Đột quỵ do cục tắc (emboli)
- 5. Đột quỵ do huyết khối (thrombus)
- DỊCH TỄ HỌC
- LÂM SÀNG
- Khai thác tiền sử và hỏi bệnh
- Khám lâm sàng
- Khám toàn thân và tim mạch
- Khám thần kinh
- Một số thể lâm sàng định khu
- Nhồi máu não động mạch não giữa
- Nhồi máu não động mạch não trước
- Nhồi máu não động mạch não sau
- Nhồi máu ổ khuyết
- Chẩn đoán phân biệt với một số bệnh lý toàn thân
- Chẩn đoán phân biệt với xuất huyết não
- Đột quỵ thoáng qua
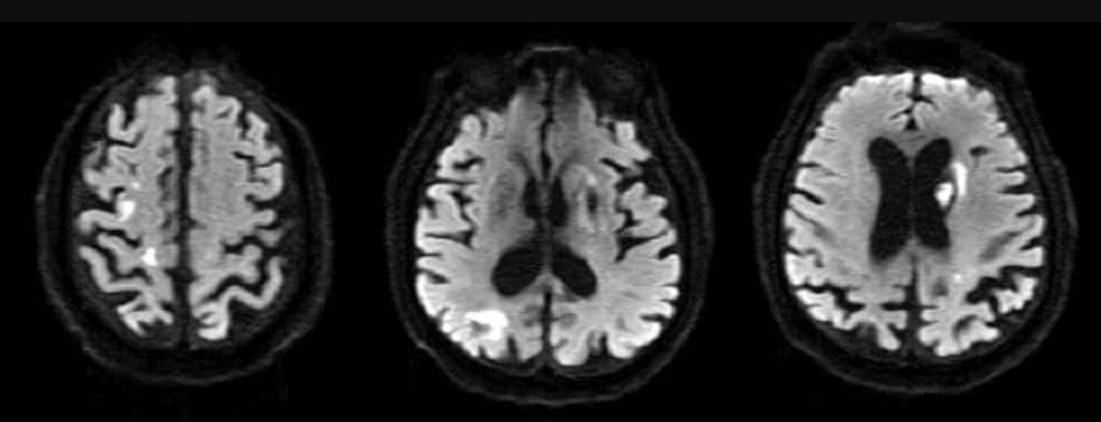
- CẬN LÂM SÀNG
- Chụp cắt lớp vi tính sọ não
- Chụp cộng hưởng từ não
- Các phương pháp chẩn đoán hình ảnh khác
- Xét nghiệm máu
- NGUYÊN TẮC ĐIỀU TRỊ
- ĐIỀU TRỊ CỤ THỂ
- Đánh giá tình trạng hô hấp, tuần hoàn
- Bổ sung oxy
- Kiểm soát đường máu
- Kiểm soát huyết áp
- Nếu bệnh nhân có tăng huyết áp (<72h từ khi phát hiện đột quỵ)
- Nếu bệnh nhân bị tụt huyết áp (HATT < 90 mmHg hoặc thấp hơn 30 mmHg so với huyết áp nền)
- Tái tưới máu bằng thuốc tiêu sợi huyết và/hoặc bằng dụng cụ trong lòng mạch
- Điều trị với thuốc kháng kết tập tiểu cầu
- Kiểm soát thân nhiệt
- Chống phù não
- Chống động kinh
- Thuốc chống đông máu và dự phòng huyết khối
- Bảo vệ tế bào thần kinh
- THEO DÕI
- THAM VẤN VÀ HỘI CHẨN
- DINH DƯỠNG
- TIÊN LƯỢNG
- TÀI LIỆU THAM KHẢO
GIỚI THIỆU
Đột quỵ thiếu máu não cục bộ cấp tính (acute ischemic stroke) hay còn gọi là nhồi máu
não là tình trạng dòng máu đột ngột không lưu thông đến một khu vực của não làm mất
chức năng thần kinh tương ứng (hình 1).
Hình 1- Hình ảnh chụp cắt lớp vi tính cho thấy huyết khối gây hẹp tắc tại động mạch não giữa đoạn M1-2 (vòng tròn màu đỏ)
Hệ thống phân loại đột quỵ được xây dựng dựa trên Thử nghiệm đa trung tâm điều trị
đột quỵ cấp (TOAST), trong đó phân chia nhồi máu não thành 3 thể chính như sau:
- Nhồi máu não động mạch lớn
- Nhồi máu não động mạch nhỏ, hoặc nhồi máu ổ khuyết
- Nhồi máu não do cục tắc di chuyển từ tim
Nhồi máu ổ khuyết do tắc mạch nhỏ (thường là những động mạch xuyên nằm sâu
trong não) mà nguyên nhân thường do bệnh lý mạch máu. Nhiều khi không xác định được
nguyên nhân gây nhồi máu não và được xếp vào loại nhồi máu não không rõ nguyên nhân.
Não là cơ quan có hoạt động chuyển hóa cao nhất trong cơ thể. Mặc dù chỉ chiếm 2% khối lượng của cơ thể, nhưng nó cần 15-20% tổng cung lượng tim lúc nghỉ để cung cấp
glucose và oxy cần thiết cho quá trình trao đổi chất.
Các bán cầu não được cấp máu bởi sự kết nối của 3 động mạch chính, cần đặc biệt ghi
nhớ là các động mạch não trước, não giữa và não sau.
Các động mạch não trước và giữa đảm bảo tuần hoàn phía trước, nguyên ủy là các
động mạch cảnh trong. Động mạch não trước cấp máu cho phần giữa của thùy trán và thùy
đỉnh và các phần trước của hạch nền và bao trong.
Hình 2 - Hình ảnh chụp động mạch não tư thế nghiêng
(ACA: động mạch não trước, ICA: động
mạch cảnh trong, MCA: động mạch não giữa)
Hình 3 – Hình ảnh chụp động mạch cảnh trong tư thế trước-sau.
Các động mạch đốt sống tham gia tạo thành động mạch nền. Các động mạch tiểu não
sau (PICAs) phát sinh từ các động mạch đốt sống xa. Các động mạch tiểu não trước dưới
(AICAs) phát sinh từ đoạn gần của động mạch nền. Các động mạch tiểu não trên (SCA)
phát sinh xa từ đoạn xa của động mạch nền trước khi phân chia thành các động mạch não
sau (PCAs).
| Vùng mạch máu | Cấu trúc được nuôi dưỡng |
|---|---|
| Tuần hoàn trước (hệ cảnh) | |
| ĐM não trước |
|
| ĐM não giữa |
|
| ĐM mạch mạc trước |
|
| Tuần hoàn sau (hệ sống nền) | |
| ĐM não sau |
|
| ĐM tiểu não sau dưới |
|
| ĐM tiểu não trước dưới |
|
| ĐM tiểu não trên |
|
Nhồi máu não cấp tính do huyết khối hoặc cục tắc làm thiếu máu cục bộ, dẫn đến thiếu
oxy và giảm ATP tế bào, ảnh hưởng tới sự chênh lệch nồng độ ion qua màng tế bào, gây
phù tế bào não.
Tắc mạch não cấp tính gây ra các vùng thiếu máu cục bộ không đồng nhất. Các vùng
có lưu lượng máu não dưới 10 ml/100g mô/phút được gọi vùng lõi hay trung tâm ổ nhồi
máu và ở vùng này, tế bào não sẽ hoại tử sau vài phút nhồi máu não.
Khu vực ngoại biên của ổ nhồi máu (lưu lượng máu não <25 mL/100g mô/phút) hay
còn gọi là vùng rìa ổ nhồi máu mà ở đây, tế bào não có thể tồn tại trong vài giờ vì vẫn còn
được tưới máu.
Tế bào thần kinh khử cực trong tình trạng thiếu oxy và không đủ ATP khi nhồi máu
não gây đình trệ hệ thống vận chuyển ion qua màng tế bào, từ đó làm rối loạn hoạt động
của bơm natri-kali, tăng natri nội bào, tăng thể tích nước nội bào. Hậu quả là phù não xảy
ra rất sớm khi thiếu máu não.
Bên cạnh đó, hoạt động trao đổi natri-canxi qua màng tế bào cũng bị rối loạn. Các ion
can xi đi vào trong tế bào, giải phóng giải phóng một số chất dẫn truyền thần kinh như
glutamate, hoạt hóa N-methyl-D-aspartate (NMDA) và các thụ thể kích thích khác trên các
tế bào thần kinh, từ đây tạo ra một vòng xoắn bệnh lý tạo ra một dòng canxi khổng lồ đi
vào tế bào và kích hoạt các enzyme thoái hóa khác nhau, dẫn đến sự phá hủy tế bào thần
kinh. Các gốc tự do, axit arachidonic và oxit nitric tạo ra làm tế bào thần kinh tổn thương
nặng nề hơn.
Thiếu máu cục bộ trực tiếp phá hủy hàng rào máu não (thường xảy ra trong 4 - 6 giờ
sau đột quỵ) làm protein và nước tràn vào khoảng gian bào gây phù mạch, phù não, nặng
nhất thường sau 3 - 5 ngày và kéo dài nhiều tuần nếu nước và protein được tái hấp thu.
Trong vòng vài giờ đến vài ngày sau đột quỵ thiếu máu não, các cytokin được hình
thành, thúc đẩy quá trình viêm và cản trở vi tuần hoàn. Vùng ngoại vi ổ nhồi máu dần dần
bị thu hẹp, vùng trung tâm ổ nhồi máu lan rộng. Các tế bào hình sao, tế bào đuôi gai lớn và
vi tế bào thần kinh đệm dần bị hoại tử. Nhu mô não bị nhồi máu sẽ dịch hóa và bị các đại
thực bào tiêu hủy. Vùng mô hoại tử này dần mất đi, thay thế bằng các nang nước trong
não.
- Khoảng 5% bệnh nhân nhồi máu não không biến chứng, không điều trị bằng thuốc tiêu huyết khối có hiện tượng chảy máu trong ổ nhồi máu.
- Hình thái có thể là những chấm xuất huyết trong ổ nhồi máu hoặc một hoặc nhiều khối máu tụ, làm suy giảm thần kinh và có thể phải can thiệp phẫu thuật hoặc dẫn lưu.
- Nguyên nhân chuyển dạng xuất huyết có thể do tái tưới máu, tái thông mạch bị tắc, do tuần hoàn bàng hệ hoặc do vỡ hàng rào máu não làm hồng cầu thoát quản.
- Thường xảy ra từ 2 - 14 ngày sau đột quỵ.
- Thường gặp ở những bệnh nhân:
- Có bệnh lý tim mạch gây huyết khối trong buồng tim.
- Sau khi dùng thuốc tiêu sợi huyết rt-PA với những bệnh nhân có những ổ giảm tỷ trọng ngay khi chụp cắt lớp không cản quang những giờ đầu.
Mặc dù phù não nặng có thể xảy ra ở những bệnh nhân đột quỵ do thiếu máu hệ cảnh (tuần
hoàn trước) nhưng cũng ít gặp (10-20%). Phù và thoát vị là nguyên nhân phổ biến nhất gây
tử vong sớm ở bệnh nhân nhồi máu não.
Co giật xảy ra ở 2-23% bệnh nhân trong những ngày đầu tiên sau nhồi máu. Một phần
nhỏ bệnh nhân sau nhồi máu não bị co giật mạn tính.
Đột quỵ thiếu máu não là hậu quả của các nguyên nhân gây giảm hoặc tắc nghẽn dòng
máu (huyết khối ngoại sọ hoặc nội sọ gây lấp mạch). Thiếu máu cục bộ và tổn thương tế
bào thần kinh không hồi phục khi lưu lượng máu não dưới 18 ml/100g mô não/phút, tế bào
chết nhanh chóng khi lưu lượng máu dưới 10ml/100g mô não/phút.
Các yếu tố nguy cơ của nhồi máu não bao gồm các yếu tố có thể thay đổi và không thể
thay đổi. Xác định các yếu tố nguy cơ ở mỗi bệnh nhân có thể giúp người thày thuốc nhanh
chóng xác định hoặc định hướng nguyên nhân gây đột quỵ và đưa ra phác đồ điều trị và
phòng ngừa tái phát hợp lý.
- Tuổi
- Chủng tộc
- Giới tính
- Tiền sử đau nửa đầu kiểu migrain
- Loạn sản xơ cơ
- Di truyền: gia đình có người bị đột quỵ hoặc bị các cơn thiếu máu não thoáng qua
- Tăng huyết áp (quan trọng nhất)
- Đái tháo đường
- Bệnh tim: rung nhĩ, bệnh van tim, suy tim, h p van hai lá, bệnh tim bẩm sinh có luồng thông trái - phải (ví dụ lỗ bầu dục thông), giãn tâm nhĩ và tâm thất
- Rối loạn lipid máu
- Thiếu máu não thoáng qua (TIAs)
- Hẹp động mạch cảnh
- Tăng homocystine máu
- Các vấn đề về lối sống: uống rượu quá mức, hút thuốc lá, sử dụng ma túy, ít hoạt động thể lực
- Béo phì
- Dùng thuốc tránh thai hoặc dùng hormone sau mãn kinh
- Bệnh hồng cầu hình liềm
- Do vỡ xơ vữa động mạch: thân chung động mạch cảnh, động mạch cảnh trong
- Do huyết khối từ tim: h p van hai lá, rung nhĩ...
Đột quỵ ổ khuyết chiếm 13-20% bệnh nhân đột quỵ thiếu máu não. Phần lớn đột quỵ ổ
khuyết liên quan đến tăng huyết áp.
Nguyên nhân thường gặp:
- Mảnh vữa xơ nhỏ (microatheroma)
- Nhiễm lipohyalin
- Hoại tử dạng fibrin thứ phát sau tăng huyết áp hoặc viêm mạch
- Vữa xơ động mạch hyaline
- Bệnh mạch amyloid
- Bệnh lý mạch máu khác...
Cục tắc từ tim có thể chiếm tới 20% nguyên nhân gây nhồi máu não cấp, hay gặp trong
các bệnh:
- Bệnh van tim (hẹp van hai lá, viêm nội tâm mạc nhiễm khuẩn, van tim nhân tạo)
- Nhồi máu cơ tim, rung nhĩ, bệnh cơ tim giãn hoặc suy tim sung huyết nặng: gây huyết khối trong buồng tim rồi di chuyển lên mạch não.
- U nhày nhĩ trái.
Hình 4 - Hình ảnh đột quỵ thiếu máu não đa ổ ở bệnh nhân sau nhồi máu cơ tim
Nguyên nhân:
- Do nứt vỡ mảng vữa xơ động mạch: tổn thương và mất các tế bào nội mô, lộ ra lớp dưới nội mạc làm hoạt hóa tiểu cầu, hoạt hóa các yếu tố đông máu, ức chế tiêu sợi huyết
- Hẹp động mạch: làm tăng tốc độ dòng máu chảy, tăng kết dính tiểu cầu, làm dễ dàng hình thành cục máu đông làm tắc nghẽn mạch.
- Ở những bệnh nhân trẻ tuổi, cần lưu ý:
- Các bệnh lý tăng đông (kháng thể kháng phospholipid, thiếu protein C, thiếu protein S, có thai)
- Bệnh hồng cầu hình liềm
- Loạn sản xơ cơ
- Lóc tách động mạch
- Co mạch liên quan đến các chất kích thích (cocaine, amphetamine)
- Đột quỵ là nguyên nhân hàng đầu gây tàn phế và là nguyên nhân hàng thứ năm gây tử vong ở Hoa Kỳ. Hàng năm có khoảng 795.000 người ở Hoa Kỳ bị đột quỵ trong đó số người mới bị là 610.000 người và đột quỵ tái phát 185.000 người. Các nghiên cứu dịch tễ học chỉ ra rằng 82-92% đột quỵ ở đây là nhồi máu não.
- Theo Tổ chức Y tế Thế giới (WHO), mỗi năm có 15 triệu người bị đột quỵ trên toàn thế giới, trong đó 5 triệu người chết và 5 triệu người bị tàn tật vĩnh viễn. Đàn ông có nguy cơ đột quỵ cao hơn phụ nữ; đàn ông da trắng có tỷ lệ đột quỳ là 62,8/ 100.000 dân, tử vong 26,3% trong khi phụ nữ có tỷ lệ đột quỵ là 59/100.000 dân và tỷ lệ tử vong là 39,2%.
- Mặc dù đột quỵ thường được coi là bệnh lý của người có tuổi nhưng 1/3 số đột quỵ xảy ra ở người dưới 65 tuổi. Nguy cơ đột quỵ tăng theo tuổi, nhất là những người trên 64 tuổi.
Cần khai thác các yếu tố nguy cơ xơ vữa động mạch và bệnh lý tim mạch, bao gồm:
Các dấu hiệu và triệu chứng của nhồi máu não thường xuất hiện đột ngột:
- Tăng huyết áp
- Đái tháo đường
- Hút thuốc lá, thuốc lào
- Rối loạn lipid máu
- Tiền sử bệnh động mạch vành, bắc cầu chủ vành, rung nhĩ...
- Tiền sử chấn thương
- Các bệnh về đông máu
- Dùng chất kích thích (đặc biệt là cocaine)
- Đau đầu migraine
- Uống thuốc tránh thai
Các dấu hiệu và triệu chứng của nhồi máu não thường xuất hiện đột ngột:
- Liệt nửa người hoặc liệt 1 phần cơ thể
- Mất hoặc giảm cảm giác một bên cơ thể
- Mất thị lực một hoặc hai mắt
- Mất hoặc giảm thị trường
- Nhìn đôi (song thị)
- Giảm hoặc không vận động được khớp xương
- Liệt mặt
- Thất điều
- Chóng mặt (hiếm khi xuất hiện đơn lẻ)
- Thất ngôn
- Rối loạn ý thức đột ngột
Mục tiêu:
- Xác nhận các triệu chứng và dấu hiệu đột quỵ (suy giảm chức năng thần kinh) trên người bệnh.
- Phân biệt đột quỵ não với những bệnh có triệu chứng giống đột quỵ.
- Đánh giá tiến triển của đột quỵ và tình trạng người bệnh.
- Bệnh lý đáy mắt: bệnh võng mạc, tắc mạch, xuất huyết.
- Tim: loạn nhịp hoàn toàn, tiếng thổi bất thường, tiếng ngựa phi.
- Mạch máu ngoại biên: tiếng thổi hoặc rung miu động mạch cảnh, mạch quay hoặc mạch đùi bắt yếu.
- Khám toàn thân:
- Kiểm tra đường thở, nhịp thở và tuần hoàn, các dấu hiệu sinh tồn. Chú ý bảo vệ đường thở những bệnh nhân bị rối loạn ý và phản xạ ho, nuốt.
- Huyết áp: huyết áp có thể tăng cao sau đột quỵ và phần lớn huyết áp sẽ giảm dần về mức nền.
- Đầu, mặt, cổ: kiểm tra để phát hiện chấn thương.
Thầy thuốc phải đánh giá nhanh nhưng cần chính xác bệnh nhân nghi ngờ đột quỵ để
xem xét điều trị tiêu sợi huyết hoặc hút huyết khối. Mục đích khám thần kinh nhằm:
- Một lần nữa xác định triệu chứng đột quỵ.
- Đánh giá mức độ thiếu hụt thần kinh và theo dõi tiến triển theo thang điểm NIHSS.
- Tiên lượng bệnh nhân và lựa chọn phương pháp điều trị tối ưu nhất
- Các dây thần kinh sọ.
- Chức năng vận động, cảm giác.
- Chức năng tiểu não.
- Dáng đi.
- Ngôn ngữ: khả năng đáp ứng và nhận thức.
- Ý thức.
Thang điểm NIHSS (National Institutes of Health Stroke Scale) là một công cụ hữu ích lượng giá mức độ suy giảm chức năng thần kinh, gồm 6 yếu tố chính sau đây:
- Mức độ ý thức.
- Thị lực, thị trường.
- Chức năng vận động.
- Cảm giác và mức độ chú ý.
- Chức năng tiểu não.
- Ngôn ngữ.
Tắc động mạch não giữa thường gây ra các triệu chứng và dấu hiệu sau:
- Liệt nửa người đối bên.
- Tê bì nửa người đối bên.
- Bán manh cùng bên.
- Nhìn về phía tổn thương.
- Mất nhận thức.
- Thất ngôn, nếu tổn thương ở bên bán cầu ưu thế.
- Thờ ơ, giảm chú ý, thất điều gặp trong một số tổn thương ở bán cầu không ưu thế.
Tắc động mạch não trước ảnh hưởng đến chức năng thùy trán. Các triệu chứng gồm:
- Mất ức chế và mất kiểm soát lời nói,
- Phản xạ nguyên phát (ví dụ: phản xạ nắm tay, phản xạ mút),
- Thay đổi tâm lý,
- Suy giảm khả năng tư duy,
- Liệt đối bên (liệt chi dưới nặng hơn chi trên),
- Thiếu hụt cảm giác vỏ não đối bên,
- Dáng đi bất thường,
- Tiểu tiện không tự chủ.
Tắc động mạch não sau ảnh hưởng đến thị giác và khả năng suy nghĩ. Biểu hiện lâm
sàng:
- Bán manh đối bên,
- Mù vỏ não,
- Mất nhận thức thị giác,
- Thay đổi tâm lý,
- Giảm trí nhớ.
- Chóng mặt,
- Rung giật nhãn cầu,
- Nhìn đôi,
- Mất thị trường,
- Nuốt khó,
- Khó vận động khớp,
- Tê bì vùng mặt,
- Ngất,
- Thất điều.
Đột quỵ ổ khuyết do tắc các động mạch nhỏ, động mạch xuyên ở vùng dưới vỏ. Kích thước ổ nhồi máu thường từ 2-20 mm. Các hội chứng nhồi máu ổ khuyết phổ biến nhất
gồm:
- Liệt vận động hoặc cảm giác đơn thuần, thất điều đối bên.
- Ít ảnh hưởng đến nhận thức, trí nhớ, lời nói, ý thức.
Các triệu chứng đột quỵ dễ bị nhầm lẫn trên lâm sàng với một số bệnh lý toàn thân.
Các triệu chứng dễ nhầm lẫn nhất với đột quỵ là:
- Co giật,
- Nhiễm khuẩn toàn thân,
- U não,
- Rối loạn chuyển hóa, rối loạn nước, điện giải như hạ natri máu, hạ đường máu,
- Hội chứng hố sau.
Mặc dù để chẩn đoán xác định cần phải chụp cắt lớp sọ não, tuy nhiên trên lâm sàng có
thể nghĩ đến xuất huyết não nếu bệnh nhân:
- Hôn mê sâu,
- Gáy cứng,
- Co giật,
- Huyết áp tâm trương > 110 mmHg,
- Nôn,
- Đau đầu nhiều.
- Còn gọi là cơn thiếu máu não thoáng qua (TIA): suy giảm chức năng thần kinh cấp tính, tạm thời trong vòng 24h mà nguyên nhân do thiếu máu một vùng não, tủy sống hoặc hệ thống lưới.
- Khoảng 80% bệnh nhân TIA tự hồi phục trong 60 phút, cơ chế gây TIA tương tự như đột quỵ thiếu máu não.
- Khoảng 10% bệnh nhân TIA sẽ bị đột quỵ não thật sự trong thời gian 90 ngày, 50% trong số đó đột quỵ não trong vòng 2 ngày.
- Hiện nay, với sự tiến bộ của chẩn đoán hình ảnh và chuyên khoa thần kinh, nhiều trường hợp chẩn đoán TIA nhưng lại là đột quỵ não thực sự với các vùng thiếu máu não trên phim chụp. Do đó, định nghĩa TIA dựa trên sinh lý bệnh hơn là dựa vào thời gian xuất hiện và phục hồi triệu chứng.
- Theo khuyến cáo năm 2019 của Hội tim mạch và đột quỵ Hoa Kỳ thì chụp cắt lớp vi tính đóng vai trò là công cụ hình ảnh quan trọng nhất trong thăm khám ban đầu ở bệnh nhân đột quỵ não nhằm phân biệt tổn thương thiếu máu và chảy máu, đồng thời xác định mức độ tổn thương, vị trí mạch tắc với kỹ thuật đa dạng. Đây là phương pháp có thể được tiến hành nhanh chóng, thuận tiện và có tính phổ biến cao, phù hợp với tính chất và yêu cầu trong cấp cứu đột quỵ não.
- Chụp cắt lớp vi tính không tiêm thuốc trước hết giúp loại trừ tổn thương chảy máu, sau đó là đánh giá mức độ nặng của tổn thương thiếu máu thông qua thang điểm ASPECTS với vòng tuần hoàn trước và Pc-ASPECTS với vòng tuần hoàn sau. Các dấu hiệu tổn thương nhu mô thường gặp là giảm tỷ trọng các nhân xám, xóa ranh giới chất trắng-chất xám hay tăng đậm của huyết khối tại vị trí động mạch tắc.
- Chụp MSCT mạch máu não giúp chẩn đoán chính xác vị trí động mạch tắc qua đó quyết định phương pháp điều trị lấy huyết khối. Ngoài ra, nhiều ứng dụng hiện đại trong MSCT như chụp cắt lớp vi tính nhiều pha, đánh giá tính thấm thành mạch, chụp tưới máu não giúp bổ sung các thông tin cần thiết, xác định một số yếu tố nguy cơ, tiên lượng khả năng chảy máu cũng như tính toán thể tích vùng lõi nhồi máu, thể tích vùng nguy cơ nhằm mở rộng cửa sổ điều trị với các bệnh nhân đến viện sau cửa sổ điều trị thông thường (6 tiếng với tắc mạch vòng tuần hoàn trước và 8 tiếng với tắc mạch vòng tuần hoàn sau).
Ưu điểm:
- Là kỹ thuật hiện đại, mang lại nhiều thông tin bổ sung ở bệnh nhân đột quỵ.
- Có thể phát hiện tổn thương thiếu máu hay chảy máu não ngay ở giai đoạn rất sớm sau đột quỵ.
- Đánh giá chi tiết các cấu trúc giải phẫu của não nhờ độ phân giải không gian tốt.
- Không được trang bị ở mọi cơ sở y tế.
- Thời gian chụp kéo dài, chất lượng hình ảnh bị ảnh hưởng nếu bệnh nhân kích thích trong bệnh cảnh đột quỵ não.
- Một số bệnh nhân không chụp được MRI do có chống chỉ định (mang máy tạo nhịp vĩnh viễn, van cơ học ).
- Siêu âm Doppler xuyên sọ là công cụ hữu ích đánh giá các mạch máu đoạn gần như động mạch não giữa, động mạch cảnh đoạn trong sọ, động mạch sống nền.
- Siêu âm tim: khi nghi ngờ huyết khối từ tim gây tắc mạch.
- Chụp XQ ngực cũng có ích trong đột quỵ cấp, tuy nhiên không được làm ảnh hưởng đến thời gian chỉ định thuốc tiêu sợi huyết.
- Chụp động mạch não qua da: giúp làm rõ các dấu hiệu nghi ngờ hoặc để xác định và điều trị.
Chỉ nên xét nghiệm cấp các thông số như đường máu, đông máu cơ bản (nếu bệnh
nhân đang dùng heparin, warfarin, hoặc các thuốc chống đông trực tiếp), công thức máu,
sinh hóa máu cơ bản. Các chỉ định xét nghiệm khác tùy thuộc vào lâm sàng của từng người
bệnh:
- Troponin tim: để phát hiện nhồi máu cơ tim không ST chênh.
- Xét nghiệm độc chất: khi nghi ngờ bệnh nhân có triệu chứng giả đột quỵ và để phát hiện chất gây cường giao cảm (cocain) có thể gây đột quỵ.
- Xét nghiệm lipid máu lúc đói
- Máu lắng
- Thử thai
- Kháng thể kháng nhân
- Yếu tố dạng thấp
- Nồng độ homocystein máu
- Xét nghiệm giang mai (RPR)
- Khi phát hiện bệnh nhân đột quỵ, cấp cứu ngoại viện nên nhanh chóng vận chuyển bệnh nhân an tòan đến cơ sở y tế được trang bị máy chụp CT sọ não và có khả năng điều trị bằng thuốc tiêu sợi huyết để đem lại cho bệnh nhân đột quỵ cơ hội tốt nhất.
- Đột quỵ là một tình trạng cấp cứu ưu tiên, đòi hỏi nhân viên y tế phải phản ứng một cách nhanh chóng. Người trả lời cuộc gọi cấp cứu phải hỏi bệnh ngắn gọn, thu thập nhanh các thông tin quan trọng như thời gian khởi phát triệu chứng, thời gian gần nhất nhìn thấy bệnh nhân bình thường, tiền sử bệnh, mức đường huyết và thông báo cho người có trách nhiệm để kịp thời chuẩn bị các phương án phù hợp.
- Mục tiêu trung tâm trong xử trí, điều trị đột quỵ thiếu máu não cấp là bảo tồn nhu mô não ở vùng giảm tưới máu nhưng bị hoại tử. Tế bào não trong khu vực này có thể được bảo tồn bằng cách khôi phục lưu lượng máu đến và tối ưu hóa tuần hoàn bàng hệ khu vực bị tổn thương. Chiến lược tái tưới máu cần nhanh chóng được triển khai, bao gồm cả việc sử dụng chất kích hoạt plasminogen mô đường tĩnh mạch (rt-PA) và các phương pháp tiếp cận trong động mạch nhằm mục tiêu tái thông mạch máu để có thể cứu sống được các tế bào trong vùng tranh tối tranh sáng trước khi chúng tổn thương không hồi phục.
- Bên cạnh đó cần có chiến lược hạn chế mức độ nghiêm trọng của tổn thương não, bảo vệ tế bào thần kinh. Các phương pháp bảo vệ thần kinh được sử dụng để bảo tồn nhu mô não vùng tranh tối tranh sáng và mở rộng cửa sổ thời gian cho các kỹ thuật tái thông mạch. Tuy nhiên, tại thời điểm hiện tại, chưa có phương pháp bảo vệ thần kinh nào được chứng minh là thực sự có hiệu quả.
- Mục tiêu trong việc xử trí đột quỵ là đánh giá đường thở, hô hấp và tuần hoàn theo các bước ABC (A: airway, B: breathing, C: circulation).
- Ổn định tình trạng người bệnh.
- Hoàn thành chẩn đoán và đánh giá ban đầu, bao gồm chẩn đoán hình ảnh và xét nghiệm cận lâm sàng càng nhanh càng tốt (thường không quá 60 phút) sau khi tiếp nhận bệnh nhân.
- Chỉ định thở oxy qua sonde mũi với cung lượng thấp khoảng 2l/phút khi bệnh nhân khó thở, da niêm mạc xanh tái, tím hoặc độ bão hòa oxy SaO2 <95%.
- Cần xét nghiệm đường máu mao mạch tại giường ngay cho bệnh nhân khi tiếp nhận cấp cứu.
- Nếu nghi ngờ bệnh nhân hạ đường huyết mà chưa có kết quả xét nghiệm có thể tiêm truyền tĩnh mạch 50ml glucoza ưu trương.
- Nếu bệnh nhân có chỉ định điều trị bằng thuốc tiêu sợi huyết đường tĩnh mạch:
- Hạ HA tâm thu < 185 mmHg và HA tâm trương < 110 mmHg trước khi dùng thuốc tiêu sợi huyết.
- Duy trì HA <180/105 mmHg trong 24h đầu tiên sau khi điều trị bằng thuốc tiêu huyết khối đường tĩnh mạch.
- Nếu bệnh nhân không có chỉ định dùng thuốc tiêu sợi huyết:
- Nếu HA ≤ 220/110 mmHg: Bắt đầu điều trị hoặc điều trị lại trong thời gian 48-72h hoặc sau khi ổn định những triệu chứng thần kinh.
- Nếu HA > 220/110 mmHg: giảm 15% số đo HA trong 24h đầu tiên.
| Sử dụng thuốc kiểm soát tăng huyết áp trước và trong điều trị tái tưới máu ở bệnh nhân nhồi máu não |
|---|
| Bệnh nhân đủ tiêu chuẩn để điều trị tái tưới máu nhưng huyết áp > 185/110 mmHg(1) |
| Labetalol 10 đến 20 mg truyền TM 1-2 phút, có thể nhắc lại 1 lần; hoặc |
| Nicardipine 5 mg/h truyền TM, điều chỉnh liều 2.5 mg/h mỗi 5-15 phút, tối đa 15 mg/h cho đến khi đạt HA mục tiêu, chỉnh liều để có HA trong giới hạn phù hợp; hoặc |
| Clevidipine 1-2 mg/h truyền TM, điều chỉnh liều tăng gấp đôi mỗi 2- 5 phút, tối đa 21 mg/h cho đến khi đạt HA mục tiêu (2); hoặc |
| Các thuốc khác (hydralazine, enalaprilat...) đều có thể sử dụng |
| Nếu HA không duy trì được ở mức ≤ 185/110 mmHg: không dùng alteplase |
| Duy trì HA ≤ 180/105 mmHg trong và sau trị liệu tái tưới máu(1) |
| Theo dõi HA mỗi 15 phút trong 2h từ lúc bắt đầu truyền rtPA, sau đó cứ 30 phút trong 6h tiếp theo, sau đó đo HA 1h/1 lần trong 16 tiếp theo |
| Theo dõi HA mỗi 15 phút trong 2h từ lúc bắt đầu truyền rtPA, sau đó cứ 30 phút trong 6h tiếp theo, sau đó đo HA 1h/1 lần trong 16 tiếp theo: |
| Labetalol 10 mg tiêm tĩnh mạch sau đó tiếp tục truyền 2 - 8 mg/phút; hoặc |
| Nicardipine 5 mg/h truyền tĩnh mạch, tăng liều dẫn để đạt HA mục tiêu 2.5 mg/h mỗi 5-15 phút, tối đa 15 mg/h; hoặc |
| Clevidipine 1-2 mg/h truyền tĩnh mạch, tăng gấp đôi liều mỗi 2-5 phút, tối đa 21 mg/h cho đến khi đạt HA mục tiêu (2) |
| Nếu HA không kiểm soát được hoặc HA tâm trương >140 mmHg thì cần chỉ định truyền tĩnh mạch sodium nitroprusside |
(1): Các lựa chọn điều trị khác nhau tùy thuộc vào từng bệnh nhân, căn cứ vào các bệnh lý nền hiện có trên người bệnh mà hạ huyết áp cấp tính mang lại lợi chínhư biến cố động mạch vành cấp, suy tim cấp, phình tách động mạch chủ, tiền sản giật hoặc sản giật.
(2):Các lựa chọn điều trị khác nhau tùy thuộc vào từng bệnh nhân, căn cứ vào các bệnh lý nền hiện có trên người bệnh mà hạ huyết áp cấp tính mang lại lợi chínhư biến cố động mạch vành cấp, suy tim cấp, phình tách động mạch chủ, tiền sản giật hoặc sản giật.
- Truyền dung dịch đẳng trương theo áp lực tĩnh mạch trung tâm(CVP) nếu bệnh nhân mất nước, thiếu dịch.
- Khi đã đủ khối lượng tuần hoàn mà huyết áp vẫn không nâng lên được thì dùng các thuốc vận mạch như Dubutamin và/hoặc Noradrenalin.
Xem chi tiết tại:
- Các hướng dẫn của AHA/ASA khuyến cáo uống aspirin 81 - 325 mg trong vòng 24 – 48h kể từ khi bắt đầu đột quỵ do thiếu máu não.
- Lợi ích của aspirin rất khiêm tốn nhưng có ý nghĩa thống kê và chủ yếu liên quan đến việc giảm đột quỵ tái phát.
Sơ đồ tiếp cận lựa chọn liệu pháp chống kết tập tiểu cầu
[1]: Hình ảnh não và mạch máu lớn, đánh giá tim mạch, và các xét nghiệm khác(đối với bệnh nhân được lựa chọn).
[2]: Đối với chảy máu hệ thống nghiêm trọng hoặc chảy máu hệ thống mạch máu nội sọ trì hoãn sử dụng các thuốc chống kết tập tiểu cầu và thuốc chống đông trong 1 đến 2 tuần cho đến khi tình trạng bệnh nhân ổn định.
[2]: Đối với chảy máu hệ thống nghiêm trọng hoặc chảy máu hệ thống mạch máu nội sọ trì hoãn sử dụng các thuốc chống kết tập tiểu cầu và thuốc chống đông trong 1 đến 2 tuần cho đến khi tình trạng bệnh nhân ổn định.
DAPT(liệu pháp chống kết tập tiểu cầu kép) ngắn hạn được sử dụng trong trường hợp đột quỵ thiếu máu não cấp tính không rõ cơ chế(không rõ nguồn gốc từ tim hay không) với NIHSS ≤ 5 điểm và/ hoặc đột quỵ do xơ vữa động mạch lớn nội sọ (hẹp 70 - 99%):
- Aspirin (liều nạp 160 - 325 mg, liều tiếp theo là 50 - 100 mg mỗi ngày), kết hợp với Clopidogrel (liều nạp 300 - 600 mg, liều tiếp theo 75 mg mỗi ngày).
- Lựa chọn thay thế: Aspirin (liều nạp 300 - 325 mg, liều tiếp theo là 75 - 100 mg mỗi ngày), kết hợp với Ticagrelor(liều nạp 180 mg, liều tiếp theo 90 mg x 2 lần mỗi ngày).
- Thời gian sử dụng: 21 ngày đối với thiếu máu não cục bộ mức độ nhẹ (NIHSS ≤ 5 điểm), nhưng có thể kéo dài đến 90 ngày đối với đột quỵ do hẹp động mạch lớn nội sọ(hẹp từ 70 - 99%). Sau đó, tiếp tục điều trị kháng kết tập tiểu cầu đơn vô thời hạn, như: chỉ dùng aspirin, chỉ dùng clopidogrel, hoặc aspirin kết hợp với dipyridamole dạng phóng thích kéo dài.
- Tăng thân nhiệt không thường xuyên liên quan đến đột quỵ nhưng có thể làm tăng tỷ lệ tử vong ở bệnh nhân đột quỵ.
- Nếu bệnh nhân sốt > 38° C thì dùng acetaminophen (đường uống hoặc viên đặt hậu môn). Nếu bệnh nhân không uống được hoặc không có acetaminophen đặt trực tràng thì dùng Paracetamol truyền tĩnh mạch.
- Các nghiên cứu thực nghiệm cho thấy rằng hạ thân nhiệt nhẹ có tác dụng bảo vệ thần kinh. Việc sử dụng hạ thân nhiệt hiện đang được đánh giá trong giai đoạn II các thử nghiệm lâm sàng.
Phù não đáng kể sau đột quỵ thiếu máu não khá hiếm (10 - 20%) và thường xảy ra vào
khoảng 72 - 96 giờ sau khi khởi phát đột quỵ.
Các phương pháp làm giảm phù não:
- Truyền dung dịch Manitol ngắt quãng.
- Phẫu thuật mở sọ giảm áp với những bệnh nhân bị nhồi máu lớn có phù não đe dọa tính mạng.
- Với những bệnh nhân không có chống chỉ định và phù hợp, mở sọ giải áp có thể có lợi, nhất là với những bệnh nhân trẻ tuổi và cân nhắc thật kĩ với những bệnh nhân trên 60 tuổi,
- Xuất hiện các dấu hiệu và triệu chứng lâm sàng của phù não như suy giảm ý thức hoặc nặng hơn như tụt kẹt não, thay đổi kích thước đồng tử,
- Bệnh nhân phù não do nhồi máu não, rối loạn ý thức do chèn ép não: mất phản xạ giác mạc, đồng tử co nhỏ,
- Ở những bệnh nhân phù não do nhồi máu trên lều bán cầu não (supratentorial hemispheric ischemic strocke): không nhất thiết phải theo dõi áp lực nội sọ thường quy hoặc chọc dịch não tủy không được chỉ định, nhưng nếu tiếp tục tiến triển xấu đi về chức năng thần kinh, nên mở sọ giải áp,
- Ở những bệnh nhân phù não do đột quỵ tiểu não có suy giảm về chức năng thần kinh, phẫu thuật mở sọ và mở màng cứng nên được chỉ định,
- Sau nhồi máu tiểu não, phẫu thuật dẫn lưu não thất để làm giảm áp lực dịch não tủy do tắc nghẽn phải được đi kèm với phẫu thuật mở sọ.
- Động kinh xảy ra ở 2 - 23% bệnh nhân trong những ngày đầu tiên sau đột quỵ thiếu máu não, thường là động kinh cục bộ, nhưng cũng có thể là những cơn toàn thể.
- Mặc dù điều trị dự phòng tiên phát cơn động kinh sau đột quỵ không có chỉ định, nhưng nên ngăn ngừa các cơn động kinh tiếp theo bằng thuốc chống động kinh. Một phần nhỏ bệnh nhân đột quỵ bị động kinh mạn tính.
- Động kinh thứ phát sau đột quỵ thiếu máu não được xử trí theo cách tương tự như do tổn thương thần kinh.
- Nếu bệnh nhân bị đột quỵ do thuyên tắc (ví dụ rung nhĩ) có thể được điều trị thuốc chống đông với mục tiêu ngăn ngừa bệnh lý tắc mạch; tuy nhiên, cần cân nhắc trước nguy cơ xuất huyết chuyển dạng.
- Thường dùng Enoxaparin với liều điều trị là 1mg/kg/12h trong trường hợp chức năng thận bình thường. Liều dự phòng huyết khối tĩnh mạch chi dưới của Enoxaparin là 40mg/24h.
- Xoa bóp chi dưới bắt đầu trong 3 ngày đầu nằm viện giảm được nguy cơ bị huyết khối tĩnh mạch sâu ở bệnh nhân nằm lâu do đột quỵ cấp tính.
- Lý do căn bản của việc sử dụng các thuốc bảo vệ thần kinh là làm giảm giải phóng các chất dẫn truyền thần kinh bị kích thích bởi các tế bào thần kinh ở vùng não thiếu máu để tăng cường khả năng sống sót của các tế bào thần kinh này. Mặc dù kết quả rất đáng khích lệ trong một số nghiên cứu trên động vật, tuy nhiên, chưa có thuốc bảo vệ thần kinh nào được ủng hộ bởi các nghiên cứu ngẫu nhiên, có đối chứng giả dược. Tuy nhiên, một lượng nghiên cứu đáng kể đang được triển khai để đánh giá các chiến lược bảo vệ thần kinh khác nhau.
- Hạ thân nhiệt rất hứa hẹn cho việc điều trị cho bệnh nhân sống sót sau ngừng tim do nhịp nhanh thất hoặc rung thất. Tuy nhiên, chưa có nghiên cứu lâm sàng lớn nào chứng minh vai trò của hạ thân nhiệt trong điều trị sớm đột quỵ não do thiếu máu.
- Chú ý trong quá trình theo dõi và điều trị, bệnh nhân có thể đột ngột nặng lên với những biểu hiện suy giảm nhanh chóng chức năng thần kinh hoặc tình trạng tuần hoàn, hô hấp suy sụp đột ngột.
- Người thày thuốc cần đánh giá bệnh nhân từng bước theo quy tắc ABC, hỗ trợ tuần hoàn, hô hấp và nếu có thể, nên chỉ định chụp cắt lớp CTscan hoặc chụp MRI để đánh giá tiến triển của ổ nhồi máu cũng như phù não có thể xảy ra.
- Nên có một nhóm chuyên sâu về đột quỵ hoặc một chuyên gia có kinh nghiệm nên sẵn sàng có mặt trong vòng 15 phút sau khi bệnh nhân vào viện. Các hình thức tham vấn, hội chẩn khác căn cứ trên từng bệnh nhân cụ thể. Nên thực hiện sớm liệu pháp vật lý trị liệu, ngôn ngữ trị liệu và phục hồi chức năng tư vấn trong ngày đầu tiên bệnh nhân nhập viện.
- Hội chẩn tư vấn về tim mạch, phẫu thuật mạch máu hoặc phẫu thuật thần kinh có thể được đưa ra dựa trên kết quả của siêu âm doppler động mạch cảnh, chẩn đoán hình ảnh, siêu âm tim qua thành ngực và thực quản, và khám lâm sàng.
- Đột quỵ thiếu máu cục bộ có liên quan đến chứng sa sút trí tuệ do nguyên nhân mạch não. Những người sống sót sau đột quỵ có tỷ lệ mắc chứng sa sút trí tuệ gần gấp đôi so với dân số nói chung.
- Theo một nghiên cứu năm 2018, bệnh nhân có thể được giúp đỡ bằng cách tuân theo chế độ ăn Địa Trung Hải (DASH). Chế độ ăn uống cũng có thể giúp ngăn ngừa chứng mất trí nhớ ở bệnh nhân đột quỵ.
- Theo các chuyên gia dinh dưỡng nên có chế độ ăn uống có ít nhất ba phần tinh bột mỗi ngày và sáu phần rau xanh và hai phần trái cây mỗi tuần, khuyến khích sử dụng thường xuyên các loại rau, cá, thịt gia cầm, đậu và các loại hạt khác, hạn chế ăn thịt đỏ, thức ăn nhanh, phô mai, bơ.
- Trong các nghiên cứu đột quỵ Framingham và Rochester, tỷ lệ tử vong chung ở 30 ngày sau đột quỵ là 28%, tỷ lệ tử vong ở 30 ngày sau nhồi máu não là 19% và tỷ lệ sống sót sau 1 năm đối với bệnh nhân nhồi máu não là 77%. Tuy nhiên, tiên lượng sau nhồi máu khác nhau giữa các bệnh nhân, tùy thuộc vào mức độ nhồi máu và những bệnh lý kèm theo, tuổi cũng như các biến chứng sau nhồi máu.
- Các yếu tố chính làm gia tăng nguy cơ liên quan đến tử vong sớm sau nhồi máu bao gồm: tuổi, điểm NIHSS cao, điểm Rankin sửa đổi > 0, tiền sử có bệnh tim, tiểu đường.
- Nhồi máu não do suy tim cấp và rối loạn nhịp tim có tiên lượng xấu sau 3 tháng điều trị. Tăng đường huyết nặng có liên quan độc lập với tiên lượng xấu và giảm kết quả tái tưới máu bằng thuốc tiêu sợi huyết, cũng như lan rộng khu vực nhồi máu.
