ICU & ED
For Doctors and Nurses
Huyết khối tĩnh mạch não (BYT 2024)
Đăng nhập
TÌM KIẾM

Huyết khối tĩnh mạch não (BYT 2024)

Cerebral Venous Thrombosis (CVT)
 cập nhật: 26/11/2024
Chia sẻ
×

Chia sẻ



GIỚI THIỆU
Huyết khối tĩnh mạch não (CVT) là bệnh lý huyết khối của hệ thống tĩnh mạch não, bao gồm huyết khối các xoang tĩnh mạch nông, xoang tĩnh mạch não sâu cũng như các tĩnh mạch vùng vỏ não. CVT là chiếm 0,5-1% tổng số các người bệnh đột quỵ não.

CVT gặp ở người trẻ nhiều hơn, tuổi trung bình 33 tuổi, nữ chiếm 2/3 đặc biệt là ở phụ nữ mang thai, hậu sản, dùng thuốc tránh thai kéo dài hoặc các tình trạng tăng đông, trong đó thuốc tránh thai đường uống kéo dài ở phụ nữ lứa tuổi sinh đẻ là nguyên nhân thường gặp.

Có hai cơ chế bệnh sinh của CVT khác nhau:
  • Tắc nghẽn xoang tĩnh mạch dẫn đến tăng áp lực tĩnh mạch, giảm áp lực tưới máu mao mạch và tăng thể tích máu não. Sự giãn nở của các tĩnh mạch não đóng một vai trò quan trọng trong giai đoạn đầu của CVT.
  • Huyết khối tĩnh mạch não hoặc xoang màng cứng cản trở sự lưu thông thoát máu từ nhu mô não, dẫn đến tổn thương nhu mô não (nhồi máu và/hoặc chảy máu não) đồng thời làm tăng áp lực tĩnh mạch và mao mạch dẫn đến sự phá vỡ hàng rào máu não gây ra hiện tượng phù mạch, rò rỉ huyết tương vào khoảng kẽ. Khi áp lực tĩnh mạch tiếp tục tăng, có thể xảy ra phù não cục bộ và chảy máu tĩnh mạch do vỡ tĩnh mạch hoặc mao mạch. Tăng áp lực tĩnh mạch có thể dẫn đến tăng áp lực trong lòng mạch và giảm áp lực tưới máu não, dẫn đến giảm lưu lượng máu não. Đổi lại, điều này cho phép nước vào trong tế bào do bơm Na + / K + ATPase không hoạt động, và hậu quả là phù nề do nhiễm độc tế bào.
Tác động khác của CVT là làm suy giảm hấp thu dịch não tủy và hậu quả là tăng áp lực nội sọ. Áp lực nội sọ tăng cao thường xảy ra hơn nếu có huyết khối xoang tĩnh mạch dọc trên, nhưng cũng có thể xảy ra với huyết khối xoang tĩnh mạch ngang.
  • Dùng thuốc tránh thai.
  • Các tác nhân hóa trị liệu: một số loại thuốc được sử dụng để điều trị ung thư (ví dụ: L-asparaginase và cisplatin).
  • Bệnh huyết khối do di truyền: thiếu antithrombin, thiếu protein C hoặc thiếu protein S, yếu tố V Leiden biến thể bệnh lý, G20210-một biến thể bệnh lý của gen prothrombin, tăng homocystein.
  • Nhiễm COVID-19 và huyết khối liên quan đến vắc-xin COVID-19.
  • Nhiễm trùng dẫn tới CVT gây ra từ 6 đến 12% các trường hợp trong các nghiên cứu ở CVT gâyngười lớn. Nhiễm trùng tại chỗ (ví dụ liên quan đến tai, xoang, miệng, mặt hoặc cổ) thường gặp hơn nhiễm trùng toàn thân.
  • Các bệnh tự miễn có thể gây ra CVT gây, bao gồm lupus ban đỏ hệ thống, bệnh Behçet, u hạt kèm theo viêm đa tuyến, viêm tắc nghẽn mạch máu, bệnh viêm ruột và bệnh sarcoidosis.
  • Chấn thương sọ não là nguyên nhân ít phổ biến hơn của CVT.
  • Có thể tìm thấy ở khoảng một nửa số người bệnh trưởng thành mắc bệnh CVT. Do đó, cần tiến hành tìm kiếm kỹ lưỡng các nguyên nhân khác ngay cả khi một yếu tố nguy cơ cụ thể được xác định ở một người bệnh nhất định.
  • Không tìm thấy nguyên nhân hoặc yếu tố nguy cơ của CVT ở một số ít trẻ em (≤10 %) và người lớn (13 %).
  • Ở người bệnh CVT cao tuổi, tỷ lệ các trường hợp không xác định được các yếu tố nguy cơ cao hơn (37 %) so với ở người lớn dưới 65 tuổi (10 %).

Triệu chứng lâm sàng của CVT rất đa dạng, tuỳ theo mức độ và vị trí tĩnh mạch bị tắc, khởi phát có thể cấp tính, bán cấp hoặc mạn tính. Các triệu chứng lâm sàng bao gồm:
  • Hội chứng tăng áp lực nội sọ: nhức đầu, nhìn mờ, giảm thị lực do phù gai thị, rối loạn ý thức
  • Các triệu chứng do tổn thương não khu trú: dấu hiệu thần kinh khu trú, co giật (có thể đi kèm hoặc không đi kèm với triệu chứng thần kinh khu trú), các triệu chứng tổn thương chức năng não bộ (rối loạn trí nhớ, tư duy, cảm xúc).
Các biểu hiện ít gặp hơn như chảy máu khoang dưới nhện và liệt nhiều dây thần kinh sọ, cơn thiếu máu cục bộ thoáng qua. Các triệu chứng và dấu hiệu lâm sàng trong CVT phụ thuộc vào một số yếu tố, bao gồm tuổi và giới, vị trí và số lượng các tĩnh mạch bị tắc, tổn thương nhu mô não và khoảng thời gian từ khi khởi phát CVT đến khi xuất hiện triệu chứng. Ở trẻ em hôn mê và co giật là những biểu hiện lâm sàng chính, đặc biệt ở trẻ sơ sinh.
  • Nhức đầu thường là triệu chứng đầu tiên của CVT và có thể là triệu chứng duy nhất hoặc có thể xảy ra trước các triệu chứng và dấu hiệu khác vài ngày đến vài tuần. Nhức đầu có thể khu trú hoặc lan tỏa. Nhức đầu do tăng áp lực nội sọ do CVT thường đặc trưng bởi cơn đau đầu dữ dội, tăng hơn khi thực hiện động tác Valsalva và khi nằm nghiêng.
  • Vị trí nhức đầu không có mối liên hệ với vị trí xoang tĩnh mạch bị tắc hoặc các tổn thương nhu mô. Nhức đầu khởi phát với CVT thường từ từ, tăng dần trong vài ngày. Tuy nhiên, một số người bệnh CVT có những cơn nhức đầu dữ dội bùng nổ đột ngột (tức là nhức đầu “sét đánh”) giống như chảy máu dưới nhện. Nhức đầu do CVT cũng có thể giống với chứng đau nửa đầu.
  • Có thể xảy ra hiện tượng giảm thị lực, đồng thời với các đợt tăng cường độ nhức đầu.
  • Tăng áp lực nội sọ thường xảy ra ở những người bệnh có biểu hiện mãn tính hơn là ở những người bệnh có biểu hiện cấp tính.
  • Những người bệnh mắc bệnh kéo dài có thể thấy phù gai thị khi soi đáy mắt.
  • Liệt 1 chi, liệt nửa người, đôi khi cả hai bên là tổn thương thần kinh khu trú thường xuyên nhất liên quan đến CVT.
  • Rối loạn ngôn ngữ có thể xảy ra sau huyết khối xoang, đặc biệt khi các xoang bên trái bị ảnh hưởng.
  • Rối loạn cảm giác và khiếm khuyết thị trường ít phổ biến hơn.
  • Co giật toàn thể hoặc cục bộ, có thể trạng thái động kinh.
  • Các đặc điểm liên quan đến co giật bao gồm tổn thương nhu mô não trên lều và huyết khối tĩnh mạch vỏ não, và thiếu hụt khả năng vận động.
Các trường hợp nặng của CVT có thể gây rối loạn ý thức và rối loạn chức năng nhận thức, chẳng hạn như mê sảng, thờ ơ. Đặc điểm lâm sàng một số vị trí CVT  thường gặp:
  • Huyết khối xoang tĩnh mạch dọc trên (39-62%): hay gặp nhất, người bệnh có cơn co giật cục bộ hay toàn thể hoá, liệt một chân sau lan sang hai chân, rối loạn ý thức, có thể có hội chứng màng não, hội chứng tăng áp nội sọ, phù nề gai thị.
  • Huyết khối xoang ngang (44-73%): đau nhức tai, chảy dịch tai, đau sưng hạch bạch huyết vùng cổ gáy cùng bên, cứng gáy. Nguyên nhân thường do viêm tai giữa, viêm tai xương chũm …
  • Huyết khối tĩnh mạch xoang hang (1,3-1,7%): đau nhức hố mắt, phù nề gai thị, lồi mắt, lồi kết mạc, chảy máu quanh hố mắt, liệt các dây vận nhãn chung gây sụp mi, lác, nhìn đôi, có thể bị một mắt hay cả hai mắt.
  • Huyết khối tĩnh mạch vỏ não (3,7-17,1%): thường có cơn động kinh cục bộ, rối loạn ý thức, hội chứng tăng áp nội sọ, liệt nửa người, rối loạn ngôn ngữ.
Cắt lớp vi tính sọ não bình thường trong 30% các trường hợp CVT, và hầu hết dấu hiệu là không đặc hiệu. Cắt lớp vi tính sọ não có các dấu hiệu trực tiếp của CVT như sau:
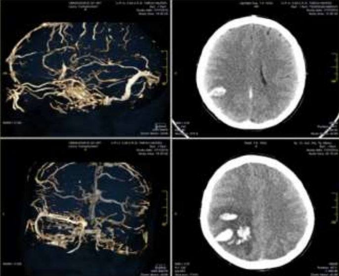
  • Chụp cắt lớp vi tính (CT) không cản quang: dấu hiệu delta đặc, có biểu hiện tăng đậm độ hình tam giác bên trong xoang dọc trên. Hình ảnh nhồi máu não không phù hợp với các khu vực tưới máu của động mạch não. Cũng có thể thấy hình ảnh của nhồi máu kết hợp chảy máu.
  • Chụp cắt lớp vi tính tĩnh mạch(CTV) não: dấu hiệu delta rỗng là hình ảnh đặc trưng của huyết khối khoang dọc trên, do tăng tỉ trọng của các tĩnh mạch bàng hệ trong thành của xoang dọc trên, xung quanh cục huyết khối không ngấm thuốc cản quang. Hình ảnh huyết khối gây choán chỗ hay tắc xoang tĩnh mạch não.
Hình 1: Dấu hiệu delta đặc trên phim CT thường (a) và dấu hiệu delta rỗng trên phim CT tiêm thuốc cản quang (b)

Hình 2: Tổn thương nhồi máu không theo phân vùng cấp máu của động mạch kết hợp chảy máu não (c), Hình mất liên tục ở xoang tĩnh mạch dọc trên (d) ở người bệnh tại Bệnh viện Bạch Mai
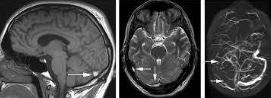
MRI sử dụng hình ảnh T2* kết hợp với chụp tĩnh mạch (MRV) là phương pháp hình ảnh nhạy nhất để chẩn đoán huyết khối tĩnh mạch não. Các đặc điểm của tín hiệu MRI phụ thuộc vào tuổi của huyết khối:
  • Trong năm ngày đầu tiên, các xoang bị tắc nghẽn xuất hiện đồng tín hiệu trên T1, giảm tín hiệu trên T2.
  • Sau năm ngày, huyết khối tĩnh mạch trở nên rõ ràng hơn: tăng tín hiệu trên T1 và T2.
  • Các tổn thương nhu mô não thứ phát bao gồm phù não hoặc nhồi máu tĩnh mạch là giảm tín hiệu trên T1 và tăng trên T2.
  • Chụp cộng hưởng từ tĩnh mạch(MRV): rất hữu ích để thấy tắc xoang tĩnh mạch não: có hình ảnh mất tín hiệu dòng chảy trong các xoang tĩnh mạch bị tắc do huyết khối.
Hình 3: Hình tăng tín hiệu trên T1 và T2; CHT tĩnh mạch có hình ảnh mất tín hiệu dòng chảy trong xoang tĩnh mạch ngang bên phải.
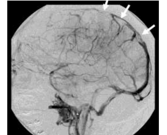
  • Chụp động mạch não số hóa xóa nền đặc hiệu hơn cắt lớp vi tính tĩnh mạch não hay cộng hưởng từ tĩnh mạch não nhưng thường không cần thiết. Chỉ định khi chụp cắt lớp vi tính hay cộng hưởng từ nghi ngờ hoặc không xác định được chẩn đoán.
  • Trên phim chụp động mạch não số hóa xóa nền thấy sự kết thúc đột ngột của tĩnh mạch vỏ não được bao quanh bởi các "tĩnh mạch nút chai" giãn và ngoằn ngoèo.
  • Hình ảnh điển hình khác có thể không thấy được toàn bộ hoặc một phần của xoang tĩnh mạch, thoát máu chậm kèm theo đảo ngược dòng chảy trong tĩnh mạch.
Hình 4: Hình ảnh huyết khối xoang dọc trên trên phim chụp DSA ở người bệnh tại Bệnh viện Bạch Mai
Các xét nghiệm máu thường quy bao gồm công thức máu, sinh hóa máu, thời gian prothrombin và thời gian thromboplastin nên được chỉ định những người bệnh nghi ngờ CVT. Những xét nghiệm này có thể cho thấy sự hiện diện của các yếu tố nguy cơ góp phần vào sự phát triển của CVT như tình trạng tăng đông máu, nhiễm trùng.
  • Nồng độ D-dimer trong huyết tương tăng cao (>500 µg/L) hỗ trợ chẩn đoán CVT, nhưng D-dimer bình thường cũng không hoàn toàn loại trừ chẩn đoán CVT.
  • Xét nghiệm dịch não tủy được chỉ định nếu nghi ngờ căn nguyên viêm hệ thần kinh trung ương.
  • Các bất thường dịch não tuỷ không đặc hiệu và có thể bao gồm tăng bạch cầu lympho, tăng số lượng hồng cầu và tăng protein; những bất thường này hiện diện ở 30 - 50% người bệnh CVT.
  • Các xét nghiệm gợi ý nguyên nhân tăng đông: giảm protein S, protein C hoặc antithrombin III, kháng thể kháng phospholipid, bất thường về fibrinogen máu, tăng yếu tố VIII, đột biến yếu tố V Leiden (gây nên kháng protein C) và đột biến prothrombin 20210A. Huyết khối cấp tính có thể làm giảm tạm thời nồng độ antithrombin, protein C và protein S, do đó, ý nghĩa của việc kiểm tra những rối loạn này trong giai đoạn cấp tính của CVT bị hạn chế. Trong thực tế lâm sàng, nên xét nghiệm protein C, protein S và antithrombin ít nhất hai tuần sau khi ngừng sử dụng thuốc kháng đông đường uống. 
  • Không tìm thấy căn nguyên cơ bản hoặc yếu tố nguy cơ của CVT ở khoảng 13% người bệnh trưởng thành. Tuy nhiên, vẫn phải tiếp tục tìm kiếm nguyên nhân ngay cả sau giai đoạn cấp tính của CVT, vì một số người bệnh có thể có tình trạng như hội chứng kháng phospholipid, đa hồng cầu, tăng tiểu cầu, bệnh ác tính được phát hiện vài tuần hoặc vài tháng sau giai đoạn cấp tính.
  • Nếu kết quả bất thường trong các xét nghiệm kháng thể chống đông máu lupus, kháng cardiolipin, hoặc kháng thể kháng beta2 glycoprotein-I, thì xét nghiệm nên được thực hiện lại sau 12 tuần, vì chẩn đoán hội chứng kháng phospholipid đòi hỏi hai lần dương tính đối với các dấu ấn sinh học này.
  • Ở những người bệnh trên 40 tuổi mà không xác định được căn nguyên nên thực hiện tầm soát các bệnh lý ung thư. Ở những người bệnh bị nhiễm trùng huyết hoặc sốt và không có nguyên nhân nhiễm trùng rõ ràng, nên thực hiện chọc dò thắt lưng.
Nên nghi ngờ chẩn đoán CVT ở những người bệnh có một hoặc nhiều dấu hiệu sau:
  • Khởi phát triệu chứng nhức đầu với các đặc điểm khác với kiểu thông thường (ví dụ: tiến triển hoặc thay đổi tần suất cơn, mức độ nghiêm trọng) ở những người bệnh bị đau đầu nguyên phát trước đó.
  • Các triệu chứng hoặc dấu hiệu của tăng áp lực nội sọ
  • Rối loạn ý thức
  • Các triệu chứng và dấu hiệu thần kinh khu trú, đặc biệt là những triệu chứng và dấu hiệu không phù hợp với phân bố mạch máu cụ thể hoặc những triệu chứng liên quan đến nhiều mạch máu chi phối.
  • Co giật
Ngoài ra, chẩn đoán CVT nên đặt ra ở những người bệnh có các đặc điểm hình ảnh thần kinh không điển hình trên cắt lớp vi tính sọ não hoặc cộng hưởng từ não, như nhồi máu não không theo chi phối động mạch não, nhồi máu não có chuyển dạng chảy máu hoặc chảy máu não thùy có nguồn gốc không rõ ràng. Trong các trường hợp này, chẩn đoán CVT phải đặt ra đối với những người bệnh có các yếu tố nguy cơ đã biết, bao gồm các tình trạng huyết khối, sử dụng thuốc tránh thai, mang thai và thời kỳ hậu sản, bệnh ác tính, nhiễm trùng và chấn thương đầu, ngay cả khi hình ảnh cắt lớp vi tính sọ não ban đầu bình thường.
  • Chẩn đoán xác định: bằng hình ảnh có huyết khối trong xoang tĩnh mạch não.
  • Nhiễm khuẩn vùng đầu mặt, hố mắt, viêm tai giữa, viêm tai xương chũm, viêm xoang (8,2%); 
  • Nhiễm trùng thần kinh trung ương (2,1%).
  • Dùng thuốc tránh thai (54,3%); Sau sinh (13,8%); mang thai (6,3%); liệu pháp hóc môn thay thế (4,3%); ung thư (7,4%); tình trạng tăng đông do di truyền (22,4%) hoặc mắc phải (15,7%) như hội chứng kháng Phospholipid; thiếu hụt Protein C, Protein S; biến đổi gen của yếu tố V Leiden.
  • Các yếu tố nguy cơ khác ít gặp hơn như: bệnh collagen, bệnh hồng cầu hình liềm, bệnh đa hồng cầu, chấn thương sọ não, thông động mạch cảnh xoang hang, rối loạn tăng sinh tuỷ xương, mất nước, hội chứng thận hư…Bên cạnh đó vẫn còn 20 - 35% bệnh huyết khối tĩnh mạnh não chưa xác định được nguyên nhân
  1. Chẩn đoán phân biệt nguyên nhân hội chứng tăng áp nội sọ: Viêm màng não, chảy máu màng não, co mạch sau chảy máu màng não, hội chứng co mạch não có hồi phục.
  2. Chẩn đoán phân biệt triệu chứng thần kinh khu trú: Đột quỵ, u não, viêm não…
  3. Chẩn đoán phân biệt tổn thương trên chẩn đoán hình ảnh: Đột quỵ não, u não; viêm não; nhiễm độc…

  • Ly giải huyết khối hoặc lấy huyết khối
  • Phòng ngừa huyết khối tiến triển
  • Điều trị tình trạng tăng áp lực nội sọ, co giật và các biến chứng khác
  • Với mục tiêu nhằm điều trị tình trạng huyết khối cơ bản, để ngăn ngừa huyết khối tĩnh mạch ở các bộ phận khác của cơ thể, đặc biệt là thuyên tắc phổi và ngăn ngừa sự tái phát của CVT.

Sơ đồ chẩn đoán và điều trị CVT theo Hội đột quỵ Hoa Kỳ 2011
Đối với hầu hết người bệnh CVT chống đông máu bằng LMWH tiêm dưới da hoặc heparin tiêm tĩnh mạch cho người bệnh trưởng thành không có chống chỉ định. Nhồi máu não hoặc chảy máu não, hoặc chảy máu dưới nhện do CVT không phải là chống chỉ định điều trị chống đông máu. Ưu tiên dùng LMWH trừ khi người bệnh có khả năng phải can thiệp xâm lấn như phẫu thuật, hoặc có chống chỉ định với LMWH như suy thận. 

Thường khởi đầu bằng heparin trọng lượng phân tử thấp (LMWH) hoặc heparin không phân đoạn(UFH) trong giai đoạn cấp tính. Kháng vitamin K đường uống dùng sau giai đoạn cấp tính, khi đạt đến INR 2-3 thì ngừng heparin trọng lượng phân tử thấp (LMWH) hoặc heparin không phân đoạn.

Điều trị bằng thuốc kháng đông đường uống thế mới: dabigatran và rivaroxaban:
  • Dabigatran 150 mg/ lần x 2 lần/ngày duy trì tối thiểu 6 tháng.
  • Rivaroxaban 20 mg/ngày duy trì tối thiểu trong 6 tháng.
Trường hợp người bệnh có thai, LMWH được khuyến cáo điều trị trong suốt thai kỳ và ít nhất 6 tháng sau sinh và theo dõi phát hiện các biến chứng chảy máu.
  • Tiêu huyết khối thường sử dụng nếu lâm sàng tiếp tục xấu đi mặc dù dùng kháng đông hoặc nếu người bệnh tăng áp lực nội sọ tiến triển mặc dù đã điều trị tích cực.
  • Chỉ định cho người bệnh bị CVT có dấu hiệu lâm sàng tiến triển xấu mặc dù đã được chống đông đầy đủ bằng LMWH tiêm dưới da hoặc heparin tiêm tĩnh mạch, tiêu huyết khối nội mạch.
  • Can thiệp lấy huyết khối cơ học tại các trung tâm có kinh nghiệm có thể cân nhắc.
  • Cần tuân thủ các nguyên tắc chung để kiểm soát tăng ICP, bao gồm kê cao đầu giường, an thần nhẹ khi cần, thực hiện liệu pháp thẩm thấu (mannitol hoặc nước muối ưu trương), tăng thông khí (mục tiêu của PaCO2 từ 30 đến 35 mmHg), theo dõi áp lực nội sọ.
  • Phẫu thuật mở sọ giải áp: chỉ định khi vùng nhồi máu não rộng hay khối máu tụ kích thước lớn gây tăng áp lực nội sọ. Ở những người bệnh nguy cơ thoát vị não do tổn thương bán cầu một bên, phẫu thuật mở sọ giải áp có thể hiệu quả.
  • Ở những người bệnh có tăng áp lực nội sọ mạn tính, điều trị thành công tăng áp nội sọ có thể ngăn ngừa giảm thị lực và giải quyết triệu chứng đau đầu. Acetazolamide có thể có xem xét trong điều trị tăng áp lực nội sọ ở người bệnh CVT.
  • Dùng thuốc chống động kinh ngay khi xuất hiện cơn đầu tiên, giảm và ngừng thuốc sau khi nguyên nhân huyết khối xoang được giải quyết. Không dùng thuốc chống động kinh để dự phòng khi chưa xuất hiện cơn.
  • Trẻ nhỏ bị CVT có thể có tần suất co giật cao hơn trẻ lớn hơn hoặc người lớn. Có thể xem xét ghi điện não liên tục cho trẻ bị CVT đang hôn mê hoặc thở máy. Khi sử dụng dự phòng bằng thuốc chống co giật, valproate hoặc levetiracetam được ưu tiên hơn là phenytoin vì chúng có ít tương tác dược lý hơn với thuốc chống đông kháng vitamin K đường uống (ví dụ warfarin).
  • Điều trị kháng sinh là bắt buộc bất cứ khi nào bị viêm màng não, hoặc nhiễm trùng cấu trúc lân cận, chẳng hạn như viêm tai giữa hoặc viêm xương chũm.
  • Có thể cân nhắc khi người bệnh có tổn thương thần kinh khu trú.
  • Thuốc có thể chọn như: peptid (cerebrolysin concentrate), choline alfoscerate, citicolin.
  • Đối với các bệnh viêm liên quan như bệnh Bechet, lupus, hoặc viêm mạch máu, điều trị bằng glucocorticoid có thể cân nhắc.

Kháng đông đường uống tiếp tục sử dụng sau giai đoạn cấp tính để ngăn ngừa huyết khối tĩnh mạch nơi khác và tái phát huyết khối tĩnh mạch não.

Mục tiêu INR: 2-3.
  • Huyết khối tĩnh mạch não liên quan đến yếu tố nguy cơ tạm thời đã giải quyết được nguyên nhân: sử dụng thuốc kháng đông 03 tháng.
  • Huyết khối tĩnh mạch não không rõ nguyên nhân hoặc tăng đông nhẹ: sử dụng thuốc kháng đông 06 -12 tháng.
  • Tăng đông nặng hoặc huyết khối tĩnh mạch tái phát: sử dụng thuốc kháng đông suốt đời.
Các nhóm bệnh đặc biệt liên quan tới CVT:
  • Bệnh ung thư: cần phải dùng thuốc kháng đông lâu dài, nhưng nếu có chống chỉ định (ví dụ độ thanh thải creatinin < 30 ml / phút), thì heparin trọng lượng phân tử thấp (LMWH) thường được ưu tiên hơn là thuốc kháng vitamin K đường uống.
  • Người bệnh suy thận mạn tính: nếu có chống chỉ định dùng thuốc kháng đông đường uống thế hệ mới thì có thể sử dụng thay thế bằng thuốc kháng vitamin K (ví dụ, warfarin).
  • Trẻ em: một số thuốc chống đông máu đã được sử dụng bao gồm thuốc kháng vitamin K, heparin không phân đoạn, hoặc LMWH.

  • CVT có tiên lượng tốt, hồi phục hoàn toàn khoảng 75%, tuy nhiên có khoảng 15% người bệnh tử vong hoặc sống phụ thuộc. Các yếu tố tiên lượng nặng bao gồm nam giới, tuổi cao, rối loạn ý thức hoặc hôn mê, chảy máu nội sọ, phù não lớn, nhiễm trùng. Hậu quả xa có thể trầm cảm, sa sút trí tuệ. Tỷ lệ tái phát 2-7 % với CVT, 4-7% CVT kết hợp huyết khối tĩnh mạch khác.
  • Thang điểm tiên lượng CVT (ISCVT-RS) theo Ferro JM: Đánh giá < 3 điểm tiên lượng tốt, ≥ 3 điểm tiên lượng xấu.

TÀI LIỆU THAM KHẢO
  1. Hướng dẫn chẩn đoán và điều trị đột quỵ não. 3312/QĐ-BYT 05/11/2024
TÀI LIỆU THAM KHẢO
  1. Hướng dẫn chẩn đoán và điều trị đột quỵ não. 3312/QĐ-BYT 05/11/2024
 43 lượt xem VIP

DANH MỤC

Bố cục nội dung


ICU & ED chuyển đổi số !

Chuyên về công cụ hỗ trợ thực hành (tools), cập nhật phác đồ điều trị (protocols), hướng dẫn về thủ thuật (procedures), tra cứu về thuốc (drugs) và xét nghiệm (tests), sơ đồ tiếp cận (approach algorithm). Giúp cải thiện tốc độ và độ chính xác trong chẩn đoán và điều trị.
Chuyên về công cụ hỗ trợ thực hành (tools), cập nhật phác đồ điều trị (protocols), hướng dẫn về thủ thuật (procedures), tra cứu về thuốc (drugs) và xét nghiệm (tests), sơ đồ tiếp cận (approach algorithm). Giúp cải thiện tốc độ và độ chính xác trong chẩn đoán và điều trị.
×

Chia sẻ

Phiên bản miễn phí
Phiên bản VIP