ASPECTS
Alberta Stroke Program Early CT Score Chia sẻ
GIỚI THIỆU
Điểm CTscan sớm của Chương trình Đột quỵ Alberta (ASPECTS) giúp đánh giá vùng tổn thương do tắc/ hẹp cấp tính chủ yếu thuộc vùng cấp máu của động mạch não giữa (MCA).
| Ý nghĩa điểm ASPECTS | |
|---|---|
| Điểm | Ý nghĩa |
| ≥ 6 | Là 1 trong các tiêu chí trong cửa sổ can thiệp nội mạch lấy huyết khối cơ học trong cửa sổ 6 - 16 giờ đầu của đột quỵ thiếu máu não. Các hướng dẫn mới của Hội tim mạch và đột quỵ Hoa Kỳ năm 2018, 2019 đưa ra khuyến nghị lấy huyết khối ở bệnh nhân đủ điều kiện trong cửa sổ 6 đến 16 giờ sau đột quỵ, cụ thể là đối với những bệnh nhân có một cục máu đông lớn ở một trong những mạch lớn ở nền não và đáp ứng các tiêu chí sau:
Tuy nhiên, các thử nghiệm tiếp theo cho thấy lấy huyết khối cơ học cải thiện kết cục cho bệnh nhân đột quỵ thiếu máu cục bộ tuần hoàn não trước cấp tính do tắc mạch lớn có lõi thiếu máu cục bộ lớn với mức ASPECTS từ 3 - 5 điểm (hoặc thể tích lõi nhồi máu ≥ 50 mL). |
| < 8 | Cân nhắc không sử dụng tiêu sợi huyết do nguy cơ xuất huyết cao khi dùng rTPA (Alteplase), đặc biệt khi ASPECTS < 5 điểm. Và cũng không nên dùng chống đông ngay nếu nhồi máu não do huyết khối từ tim. Vì điểm ASPECTS < 8 điểm tiên lượng kết cục thần kinh xấu. Tuy nhiên, theo nghiên cứu NINDS rtPA và ECASS-II không có liên quan giữa các dấu hiệu sớm của thiếu máu cục bộ trên CT không cản quang (tức điểm ASPECTS) với việc tăng nguy cơ của kết cục bất lợi sau điều trị tiêu sợi huyết đường tĩnh mạch. Do đó, không nên sử dụng điểm ASPECTS để loại trừ bệnh nhân có chỉ định điều trị tiêu sợi huyết. Xem thêm: Checklist tiêu sợi huyết trong nhồi máu não cấp cửa sổ 0-4,5 giờ |
| ≥ 8 | Có lợi khi điều trị tiêu sợi huyết. Tiên lượng kết cục thần kinh tốt hơn, thời gian nằm viện ít hơn và tử vong thấp hơn ở bệnh nhân đột quỵ thiếu máu não cấp. |
| > 3 | Tiên lượng sống sót (94% bệnh nhân) khi nhập viện, với độ đặc hiệu 93.7% và độ nhạy 78.6%. |
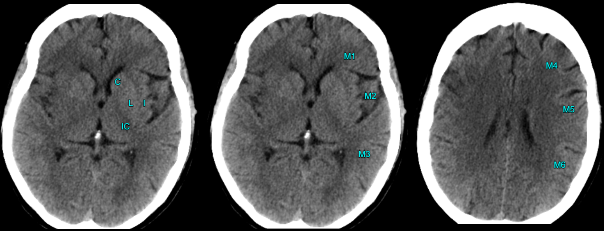
CTscan (không tiêm thuốc cản quang) trong giai đoạn sớm dựa trên 2 lát cắt chính:
- Lát cắt đi ngang vùng đồi thị - hạch nền và
- Lát cắt phía trên hạch nền (không thấy hạch nền).
- Mất sự khác biệt giữa chất trắng và chất xám trong vùng hạch nền (ví dụ: che lấp nhân đậu[nhân bèo]).
- Mất dải Thùy đảo hoặc che lấp khe Sylvian.
- Giảm tỷ trọng vùng vỏ não và xóa rãnh cuộn.
