Cardiac Output (CO) by Echo
Đo cung lượng tim (CO) bằng siêu âm Chia sẻ
GIỚI THIỆU
Nhập bất kỳ chỉ số nào có thể đo được.
Để tính CO (Cardiac Output) cung lượng tim: cần đo LVOT(Left Ventricular Outflow Tract): đường ra thất trái (hoặc buồng tống thất trái), VTI (Velocity Time Integral): Tích phân vận tốc máu theo thời gian, HR (Heart Rate): tần số tim.
Để tính thêm CI (Cardiac Index) chỉ số tim: cần lấy thông tin Chiều cao (cm) và cân nặng (kg) của bệnh nhân.
Đối với bệnh nhân không thở máy xâm nhập, để tính thêm SVR (Systemic Vascular Resistance) sức cản mạch hệ thống và SVRI (Systemic Vascular Resistance Index) chỉ số sức cản mạch hệ thống : cần đo đường kính tối đa(IVCmax) và tối thiểu(IVCmin) của tĩnh mạch chủ dưới(cm) theo hô hấp, huyết áp tâm thu(HA tâm thu) và huyết áp tâm trương (HA tâm trương) của bệnh nhân.
Đường kính LVOT (cm)
VTI (cm)
HR (tần số tim: lần/phút)
Chiều cao BN (cm)
Cân nặng BN (kg)
HA tâm thu (mmHg)
HA tâm trương (mmHg)
IVCmax (cm)
IVCmin (cm)
Kết quả...
Để tính CO (Cardiac Output) cung lượng tim: cần đo LVOT(Left Ventricular Outflow Tract): đường ra thất trái (hoặc buồng tống thất trái), VTI (Velocity Time Integral): Tích phân vận tốc máu theo thời gian, HR (Heart Rate): tần số tim.
Để tính thêm CI (Cardiac Index) chỉ số tim: cần lấy thông tin Chiều cao (cm) và cân nặng (kg) của bệnh nhân.
Đối với bệnh nhân không thở máy xâm nhập, để tính thêm SVR (Systemic Vascular Resistance) sức cản mạch hệ thống và SVRI (Systemic Vascular Resistance Index) chỉ số sức cản mạch hệ thống : cần đo đường kính tối đa(IVCmax) và tối thiểu(IVCmin) của tĩnh mạch chủ dưới(cm) theo hô hấp, huyết áp tâm thu(HA tâm thu) và huyết áp tâm trương (HA tâm trương) của bệnh nhân.
| Chỉ số | Bình thường | Đơn vị |
|---|---|---|
| SV | 60 – 100 (cho phép: 50-110) |
mL/beat |
| SV (Stroke Volume) thể tích tống máu SV = [π × (LVOT÷2 )2] × VTI |
||
| SVI | 33 – 47 | mL/beat/m2 |
| SVI (Stroke Volume Index) Chỉ số thể tích tống máu SVI = SV ÷ BSA) |
||
| CO | 4.0 – 8.0 | L/phút |
| CO (Cardiac Output) cung lượng tim CO = SV × HR |
||
| CI | 3.0 – 5.0 (cho phép: 2.5 – 4.0) | L/phút/m2 |
| CI (Cardiac Index) chỉ số tim CI =CO ÷ BSA |
||
| PP | 30 – 40 | mmHg |
| PP (Pulse Pressure) áp lực mạch PP = HA tâm thu - HA tâm trương |
||
| MAP | 70 – 105 | mmHg |
| MAP (Mean Arterial Pressure) huyết áp động mạch trung bình MAP = [HA tâm thu + (HA tâm trương × 2)] ÷ 3 |
||
| CVP | 8 – 12 | mmHg |
| CVP (Central Venous Pressure) áp lực tĩnh mạch trung tâm (dự đoán qua IVC) | ||
| SVR | 800 – 1200 | dynes-sec/cm-5 |
| SVR (Systemic Vascular Resistance) sức cản mạch hệ thống SVR = [(MAP - CVP) × 80] ÷ CO |
||
| SVRI | 1700 – 2400 | dynes-sec/cm-5/m2 |
| SVRI (Systemic Vascular Resistance Index) chỉ số sức cản mạch hệ thống SVRI = SVR ÷ BSA |
||
| IVC (cm) | IVCCI (%) | CVP (mmHg) |
|---|---|---|
| < 2.1 | > 50 % | ~ 3 |
| < 2.1 | < 50 % | ~ 8 |
| > 2.1 | > 50 % | ~ 8 |
| > 2.1 | < 50 % | ~ 15 |
Cung lượng tim (CO) được định nghĩa là lượng máu tim bơm được trong 1 phút, được xác định bởi thể tích tống máu (SV) của thất trái và tần số tim (HR). CO = SV x HR
Để tính được thể tích tống máu (hoặc thể tích nhát bóp) bằng siêu âm, chúng ta cần 2 phép đo:
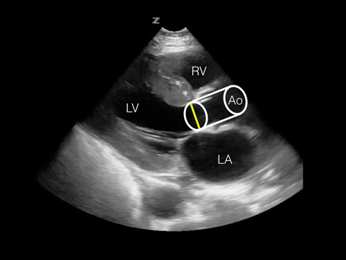
- Đường kính LVOT (đường ra thất trái) tại van động mạch chủ ở mặt cắt trục dọc cạnh ức, ta tính được diện tích hình tròn = π x (đường kính LVOT÷2)2
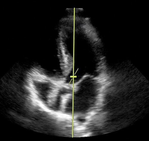
- VTI (tích phân thời gian vận tốc) bằng Doppler xung tại vị trí van động mạch chủ(đường ra thất trái) ở mặt cắt 5 buồng ở mỏm tim.
- Chọn đầu dò siêu âm tim.
- Đặt đầu dò tại vị trí trục dọc cạnh ức
- Phóng to(Zoom) đến LVOT (đường ra thất trái hay van động mạch chủ).
- Đo đường kính LVOT lúc van động mạch chủ mở hết(tối đa).
- Đặt đầu dò tại vị trí tiếp theo để có mặt cắt 5 buồng tại mỏm
- Đặt cổng (gate) Doppler tại đường ra thất trái LVOT.
- Ấn nút Doppler DW
- Vẻ đường vòng quanh sóng âm
- Ghi nhận VTI
